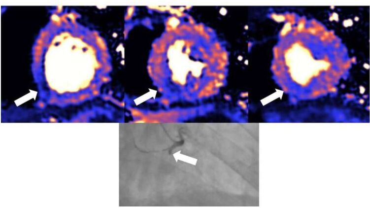
Повреждения сердца выявили при МРТ. Фото: medicalxpress.com

У почти 50 % больных, госпитализированных с тяжелой формой Covid-19 и повышенным уровнем белка тропонина, выявлены повреждения сердца. Об этом идет речь в статье ученых Университетского колледжа Лондона, опубликованной в журнале European Heart Journal. Кратко об исследовании рассказывается в пресс-релизе на MedicalXpress.

Специалисты изучили состояние поборовших коронавирусную инфекцию пациентов, выписанных до июля 2020 года из шести больниц. Те, у кого наблюдался аномально высокий уровень тропонина, прошли МРТ сердца. Результаты сравнили с пациентами из контрольной группы, у которых не было Covid-19, а также с 40 здоровыми добровольцами.

Оказалось, что у тяжелобольных пациентов очень часто наблюдались повреждения сердечной мышцы, которые можно было распознать на снимках спустя 1-2 месяца после выписки. При этом характер травм сердца был неодинаков, что указывает на то, что сердечно-сосудистая система подвержена различным типам воздействий со стороны вируса.

Функция левого желудочка, который отвечает за перекачку насыщенной кислородом крови ко всем частям тела, была нормальной у 89 процентов из 148 пациентов, хотя рубцы или другие повреждения сердечной мышцы присутствовали у 80 пациентов (54 %). Причиной появления рубцов и повреждений стало либо воспаление у 39 пациентов (26 %), либо ишемическая болезнь сердца у 32 пациентов (22 %), либо оба фактора у девяти пациентов (6 %). У 12 пациентов (8 %) воспалительные процессы все еще продолжались.

По словам ученых, в некоторых случаях повреждения могут существенно увеличить риск сердечной недостаточности в будущем. В большинстве случаев воздействие на сердце не приводило к немедленному ухудшению его функций, что дает возможность защитить сердечно-сосудистую систему от возможных последствий.

Ранее "Страна" писала о том, что в Финляндии обнаружили новый штамм коронавируса Fin-796H.

Также мы сообщали, что ученые Великобритании нашли у местных жителей новые симптомы коронавируса.

Подпишитесь на телеграм-канал Политика Страны, чтобы получать ясную, понятную и быструю аналитику по политическим событиям в Украине.